10
فيديو يوضح اسرار الحمل من الاسبوع العاشر الي الرابع عشر
10 الأسبوع العاشر من الحمل
الأسبوع العاشر من الحمل ما الذي يمكن توقعه
فحص الموجات فوق الصوتية في الأسبوع العاشر من الحمل شورتات
10 14
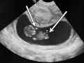
سونار الحمل في الأسبوع العاشر و توأم أيضا
10
2ث حل تقييم الأسبوع 10 عربي اجابة التقييم الأسبوعي الأسبوع العاشر عربي تانية ثانوي ترم تاني 2026
الحمل في الاسبوع العاشر 10 بطن الحمل صارت واضحة ولا لسه 10
حل الأداء الصفى والمنزلى الأسبوع العاشر عربى تانية ثانوى ٢٠٢٦
منظار رحمي لحامل بالاسبوع العاشر سبحان الله
10
10
الاسبوع الثاني عشر في الحمل
حل التقييم الأسبوعي الأسبوع 10 علوم متكاملة أولى ثانوي 2026 رسميا
ازاي تعرفي نوع جنينك ولد أو بنت من الأسبوع العاشر بنسبة 99 99 وبدون سونار
